Nos soins dentaires personnalisés

Découvrez nos solutions dentaires adaptées pour un sourire éclatant et en pleine santé.

Full guided

Implantologie dentaire

La solution pour remplacer une dent manquante

Nous proposons les implants dentaires pour redonner vie à votre sourire. Nos implants sont conçus en biomatériaux pour s’intégrer parfaitement à votre dentition naturelle, offrant ainsi confort et confiance au quotidien. 

Notre équipe utilise les dernières technologies pour garantir des interventions moins douloureuses, sûres et efficaces. Chaque patient bénéficie d’un suivi personnalisé, adapté à ses besoins spécifiques.

Chirurgie guidée

L'assurance d'une pose sécurisée

La chirurgie guidée, grâce à des techniques de pointe,  permet une pose d’implant plus précise et sécurisée.

Nous utilisons la planification numérique et des guides chirurgicaux sur mesure pour optimiser chaque étape de l’intervention et minimiser son invasivité.

Nos techniques avancées garantissent un positionnement idéal de l’implant, favorisant une cicatrisation rapide et un résultat durable.

Full Guided

La garantie d’une précision absolue

Grâce à un protocole entièrement assisté, le système Full Guided assure une précision maximale à chaque étape de la pose d’implant.

Nous utilisons un flux numérique complet, du scanner 3D à la caméra d’empreinte optique, pour planifier et exécuter l’intervention avec une exactitude millimétrique.

Cette approche innovante permet une chirurgie moins invasive, un confort accru et un résultat prévisible pour une intégration optimale de l’implant.

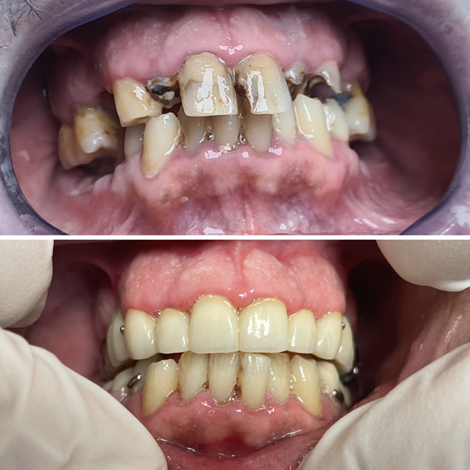
Avant et Après : Prothèses

Galerie de soins et cas sur implant

Nous vous présentons des soins réalisés au cabinet pour illustrer nos propos mais cela ne signifie pas qu’ils peuvent être les mêmes pour vous. Chaque patient est unique et les soins sont adaptés en fonction des besoins, attentes et moyens de chacun.

Autres soins dentaire

$

Traitement des caries

Faites contrôler vos dents et soignez vos caries pour éviter des complications.

$

Détartrage

Maintenez une hygiène buccale optimale et gardez vos gencives en bonne santé grâce à des détartrage régulier.

$

Traitement des gencives

Prévenez et traitez les maladies parodontales avec des soins spécialisés.

$

Consultation esthétique

Améliorez l’apparence de votre sourire avec nos conseils esthétiques personnalisés.

$

Urgences dentaires

Recevez des soins efficaces pour vous soulager rapidement si l’agenda le permet.

$

Couronnes et bridges

Retrouvez confort et esthétique avec nos prothèses dentaires sur mesure.

Retrouvez tous nos conseils

Pour découvrir les dernières actualités du Cabinet dentaire Boutonnet, en savoir plus sur nos soins et nos conseils en santé bucco-dentaire, ou simplement satisfaire votre curiosité avec des contenus informatifs et captivants..